Soins proposés
Hygiène bucco-dentaire et soins
Prophylaxie:
– technique de brossage selon l’âge,
– fluoration: ce vernis fluoré est appliqué au cabinet à la fin de chaque séance de soins et à la fin des séances de contrôle. Pour optimiser son efficacité, votre enfant ne pourra ni boire, ni manger pendant les deux heures qui suivent l’application, au minimum.
– scellements des sillons:
Les molaires permanentes surtout, mais aussi temporaires, présentent des sillons profonds qui permettent aux débris alimentaires de s’y loger ainsi qu’à la plaque dentaire et aux bactéries. Ces sillons sont souvent difficiles d’accès avec la brosse à dents dont le diamètre des poils est généralement trop large. C’est donc un lieu propice à la carie dentaire.
Pour éviter cela, il est préférable de combler ces sillons à l’aide d’une résine protectrice.
Soins de caries, dévitalisation et avulsions dentaires
Pour les caries de petite à moyenne étendue sans proximité avec le nerf, nous réalisons des composites. Il s’agit d’une résine couleur dent que nous venons mettre en place une fois la carie enlevée pour rétablir la forme de la dent.
Pour les caries proches du nerf, nous tentons toujours de conserver la vitalité de la dent (par des pansements dédiés) mais parfois, la carie est trop importante et la dévitalisation de la dent est la thérapeutique adaptée. Pour les cas complexes nous adressons à une consoeur spécialisée en endodontie
Quand la dent est trop délabrée et non conservable, nous réalisons des extractions. En cas d’extraction complexe, ou pour l’extraction de dents de sagesse incluses, nous adressons nos patients à des chirurgiens oraux spécialisés.
Soins des gencives: parodontologie
La maladie parodontale est une maladie principalement d’origine bactérienne, elle attaque les gencives autour des dents ainsi que l’os qui les soutient. Les dents bougent, les gencives saignent. Des gencives qui saignent au brossage sont le signe de gencives enflammées donc malades.
Le traitement parodontale est très efficace et permet de retrouver un état parodontal (gencives et os) sain. Celui ci permet de conserver des dents à priori condamnées. Un traitement est réalisé au fauteuil en une ou plusieurs séances mais il important de souligner que l’implication du patient à la maison dans son traitement est essentielle à sa réussite.
Prothèses
Chez les enfants
Coiffes pédiatriques
Les dents de lait bien que temporaires jouent un rôle très important et notre souhait est de les conserver au maximum. Parfois la restauration avec un matériau classique est impossible pour différentes raisons : risque trop important de fracture, restauration techniquement non réalisable. Il est donc possible de restaurer sa dent très cariée avec une petite couronne métallique en acier inoxydable, qui viennent se clipser sur la dent.
Elles sont parfois nécessaires sur les dents permanentes des enfants présentant un important défauts d’émail (MIH, amélogénèse imparfaite, dentinogénèse).
Inlays-onlays
Sont des pièces prothétiques assemblées par collage, destinées à restaurer une perte de substance dentaire. Ils sont principalement indiqués dans les restaurations des dents postérieures ayant des cavités de moyenne à grande étendue.
Mainteneurs d’espace
Pour les enfants dont une dent est prématurément extraite. Il permet de maintenir l’espace pour l’éruption des dents définitives.
Prothèse amovible
Partielle ou complète.
Chez les adultes
Inlays-onlays
Sont des pièces prothétiques assemblées par collage, destinées à restaurer une perte de substance dentaire. Ils sont principalement indiqués dans les restaurations des dents postérieures ayant des cavités de moyenne à grande étendue.
Couronnes
Sont des pièces réalisée par le prothésiste dans le cas où les dents sont plus délabrées. Il s’agit comme d’un chapeau qui vient englober la dent dans son intégralité de façon à la protéger au mieux tout en reconstituant la forme de celle – ci. Sous une couronne, nous pouvons être amené à réaliser un inlay – core. Il s’agit de prendre ancrage dans la racine pour réaliser un faux moignon pour que la couronne puisse se poser.
Lorsque des dents sont absentes, plusieurs choix thérapeutiques s’offrent à vous.
Implant dentaire
Solution fixe qui remplace la racine de la dent et sur laquelle vient se placer une couronne (après avoir laissé l’os coloniser l’implant pendant au moins 2 mois). Nous ne posons pas d’implant dans le cabinet. Nous travaillons avec un confrère sur Tarbes qui s’occupe de la pose de l’implant. Par contre, nous réalisons la pose de la couronne sur l’implant.
Bridge
Solution fixe également. Il s’agit de prendre appui sur la dent en avant et celle en arrière de la dent manquante et ainsi réaliser 3 couronnes jumelées. Nous ne réalisons des bridges que si les dents adjacentes sont au minimum cariées ou dévitalisées. Cette solution est en effet trop délabrante pour des dents saines.
Appareil
Solution amovible. Communément appelé « dentier ». Un appareil remplace une ou plusieurs dents manquantes. Il s’enlève et se remet après chaque repas pour le nettoyer. Il tient par l’intermédiaire de crochets sur les dents restantes et possède un châssis (plaque en métal) quand il s’agit d’un appareil définitif et est en résine pour un appareil provisoire.
Soins sous MEOPA (sédation consciente), hypnose
Le MEOPA est un médicament administré sous forme de gaz à l’aide d’un masque. Il vise à « détendre » votre enfant et permettre la réalisation des soins dans de meilleures conditions. Après quelques minutes d’inhalation et avec un accompagnement psychologique adapté, le niveau d’anxiété diminue. Cette technique permet de limiter le recours à l’anesthésie générale.
Tout au long de la séance de soin, le Dr Eramouspé et ses assistantes utilise des techniques et notamment de l’hypnose conversationnelle afin de détendre et d’amener à bien les soins.
L’anesthésie générale: Le Dr Eramouspé n’est plus en mesure de proposer des soins sous anesthésie générale.
Handicap
Nous recevons les patients porteurs de handicap: polyhandicap, handicap mental, TSA.
Nous sommes au 1er étage, l’ascenseur ne peut pas recevoir de patient sur brancard, seulement en fauteuil roulant.
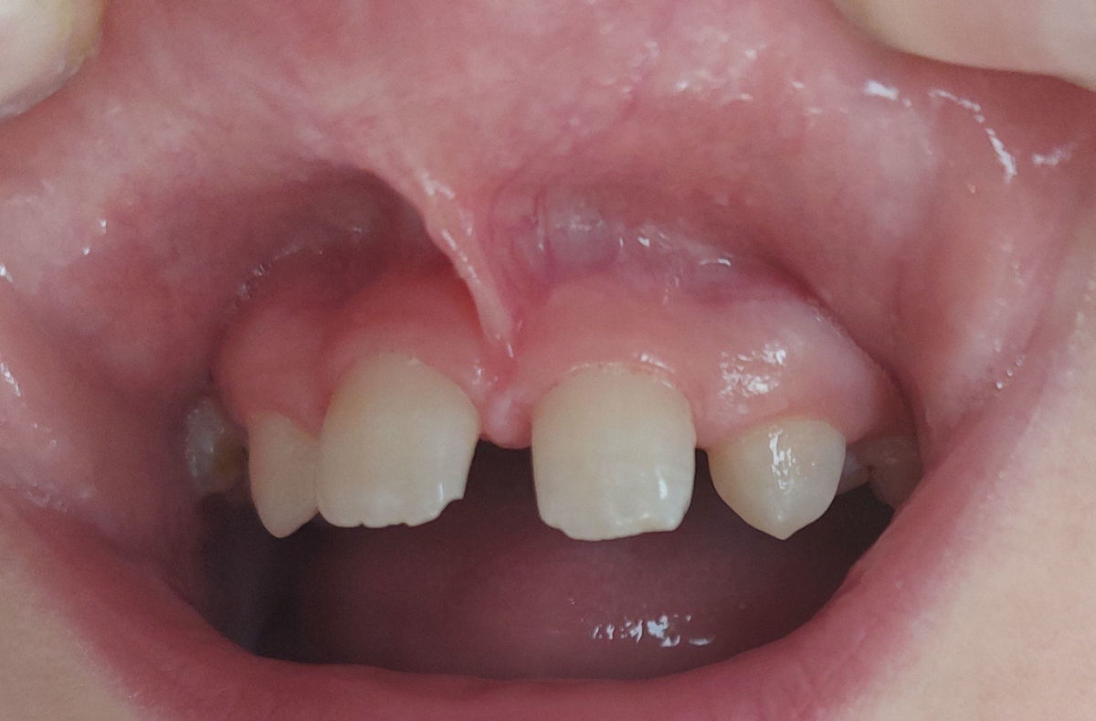
Frénectomies
Pour les frénectomies, le Docteur ERAMOUSPÉ préconise une prise en charge pluridisciplinaire avec professionnels adaptés. L’enfant doit d’abord voir un chiropracteur / ostéopathe ou kinésithérapeute spécialisé pour la mise en place de massages et d’exercices oraux.
Une fois ce professionnel vu et si malgré les exercices les freins sont toujours restrictifs, avec la présence de symptômes, le Docteur ERAMOUSPÉ intervient avec un laser. Les exercices post-opératoires sont indispensables à la réussite du traitement, sinon les chairs se recollent. L’idéal est de revoir le professionnel vu avant l’intervention.








